Acute iron overdose associated with ileal perforation in an 11-month-old boy in Rwanda

  • George Gasana
  • Valery Vilchez
  • Joseph Lule
  • Ainhoa Costas-Chavarri
Keywords: iron toxicity, ileal perforation, paediatric surgery, Rwanda

Abstract

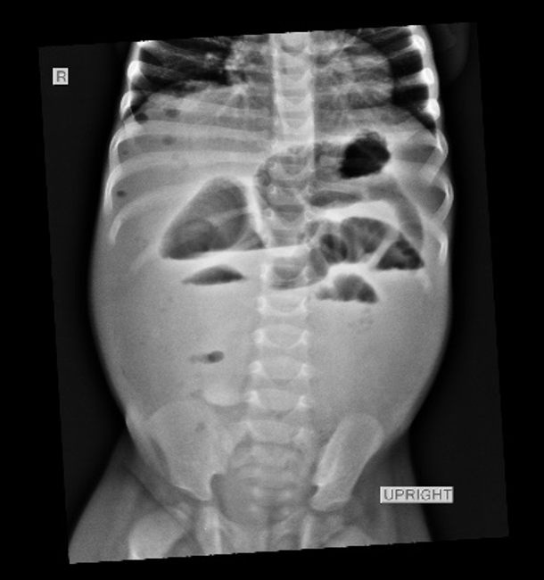
Iron poisoning is a common and potentially fatal event associated with both local and systemic effects, most commonly in children. Surgical management of patients with iron poisoning primarily focuses on the sequelae of iron intoxication on the gut and liver when nonoperative management has failed. Interventions can include surgical removal of retained iron bezoars, bowel perforation repair, and management of gastrointestinal strictures that may arise weeks after ingestion. The worst cases necessitate liver transplantation.

We present a case of a child with severe bowel ischaemia and distal ileal compromise, successfully treated via bowel resection and primary anastomosis at Rwanda Military Hospital in Kigali, Rwanda.

Published
2021-01-08
Section
Case Reports